Недостаточность двустворчатого клапана

Недостаточность двустворчатого (митрального) клапана (синонимы: митральная недостаточность, insufficientia valvulae mitralis seu bicuspidalis) возникает в тех случаях, когда митральный клапан во время систолы левого желудочка не закрывает полностью атриовентрикулярное отверстие, вследствие чего происходит обратный ток (регургитация) крови из желудочка в левое предсердие.

От болезни сердца поможет прогулка на лыжах

Когда я был в длительной командировке, у меня усилилась болезнь сердца. Да и раньше я не отличался крепким здоровьем. Частые бюллетени, постоянные недомогания. А мне тогда было всего 46. После возвращения домой ничего не изменилось. Жил, как говорится, на таблетках. Пока врач одного из санаториев, где я пытался поправить свое здоровье, не посоветовал мне лыжные прогулки. Терять мне было нечего. И

Танометры - какой выбрать: механический или автоматический?

Все от мала до велика, знают, как измерить артериальное давление, но многих постигает вопрос, что лучше, механический танометр или автоматический? Что выбрать? Механическим танометром пользуются все, но это прошлый век! Для точно измерения давления лучше использовать автоматические танометры от компании OMRON. Автоматические танометры, работают от пальчиковых батареек либо от сетевого адаптера.

Кардиохирургия: миостимуляторы и их свойства

Достаточно давно в медицине появилось понятие миостимуляция. Это такой процесс воздействия импульсных токов на ткани, мышцы, внутренние органы и нервы с целью восстановления и лечения их. Этот метод был разработан для лежачих больных, у которых не было возможности двигаться. И для того, чтобы предупредить атрофию всех нервов, мышц, органов и тканей и были разработаны миостимуляторы. Также на

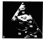
Эхокардиография: Диагностика перикардиального выпота

Эхокардиография - наиболее эффективный и доступный метод диагностики, обладающий достаточной чувствительностью и специфичностью, простой в выполнении, неинвазивный, безвредный; может быть выполнен у постели больного. При наличии небольшого выпота в перикарде выявляется относительно свободное от эхо-сигнала пространство между задней частью перикарда и задней частью эпикарда левого желудочка. При

Увеличение размеров желудочка сердца: лечение и симптомы

Легочное сердце это увеличение размеров правого желудочка сердца. Это случается при таких заболеваниях, которые нарушают структуру или функцию легких. Исключаются только случаи - первичные поражения левых отделов сердца или врожденного порока сердца.

Ишемическая болезнь сердца

По данным ряда исследователей, каждый пятый от общего числа больных ИБС не знает о своем заболевании, у каждого четвертого больного инфаркт миокарда происходит скрыто. Среди мужчин в возрасте 55-59лет, больных ИБС, 44% узнали о болезни на обычном профилактическом осмотре, причем у 23% был выявлен перенесенный ранее инфаркт миокарда, о чем они не подозревали. Ишемическая болезнь сердца (ИБС)

Артериальные эмболии

Тромбы, образующиеся в области сердца и в периферических венах, являются причиной артериальных эмболий в различные участки системы кровообращения. Эмболии могут быть множественными и повторными. Частичный разрыв тромбов предсердия ведет к эмболической закупорке артерий мозга, внутренних органов или периферических артерий. У больных с мерцательной аритмией эмболии возникают несколько чаще, чем у

Гистероскопия для диагностики и лечения женских заболевани

Диагностирование и устранение проблем женского здоровья по гинекологической линии постоянно пополняются новыми методами. Для женщины, которая по каким-либо показаниям обследуется в гинекологической клинике, есть возможность провести дополнительное медицинское обследование полости матки с использованием современного оборудования, которое получило название гистероскоп. Сама процедура именуется по

Выбор велотренажра

Тем, кто хочет держать себя в хорошей фигуре и быть здоровым, приобретают велотренажеры. Велотренажры делят на четыре вида и класса. 1. Самые дешевые велотренажеры (ременные). В этих велотренажерах нагрузка регулируется за счет натягивания ремня. Они требуют частного обслуживания., работают шумно. Цены доступные всем.